В Рязани врачи спасли конечности двум пациентам с осколочными ранениями
Рязанские врачи спасли конечности двум пациентам с осколочными ранениями
© пресс-служба ОКБ
Врачи Рязанской ОКБ спасли конечности двум пациентам, получившим ранения. Подробности рассказала пресс-служба медицинского учреждения.
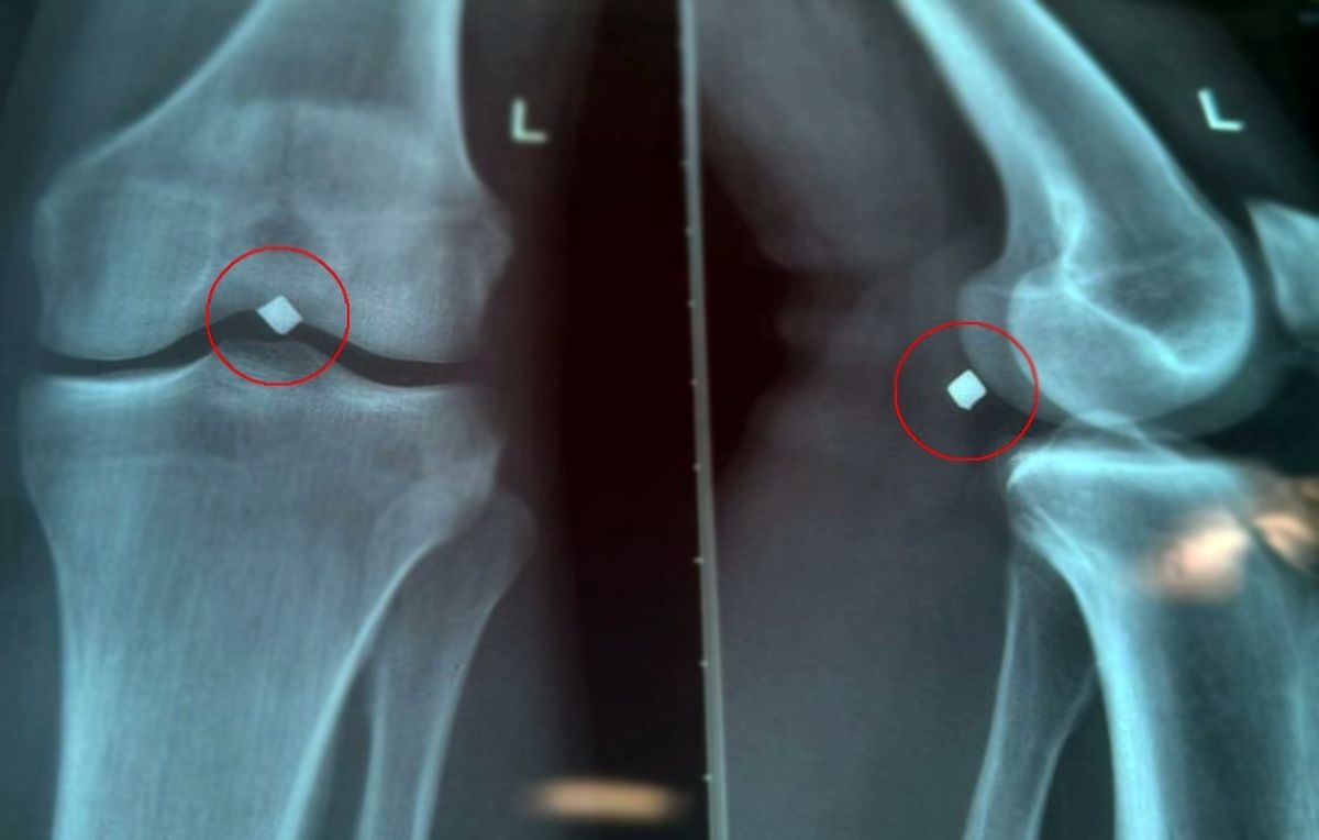
Один из пациентов - 22-летний парень. В июне 2025 года он получил серьезное ранение осколком - пробил надколенник насквозь, прошел через полость коленного сустава и застрял всего в паре миллиметров от крупного сосудисто-нервного пучка нижней конечности. Пациента беспокоили постоянные боли в области инородного тела. Осколок оказывал давление на нерв, вызывал стойкий дискомфорт и нарушение функции левой нижней конечности.

Фото: пресс-служба ОКБ
По словам сердечно-сосудистого хирурга Вячеслава Карпова, выяснилось, что осколок лежал прямо на стенке подколенной вены и практически пролабировал ее, создавая прямую угрозу жизнеугрожающего кровотечения. Операция прошла успешно, осколок был благополучно и аккуратно удален.
Второй пациент поступил в ОКБ с тяжелой травмой правого плеча, полученной в результате минно-взрывного ранения в ноябре 2024 года.
Сразу же после травмы мужчине провели экстренную операцию — первичную обработку раны и накостный остеосинтез плечевой кости. Однако возникли осложнения: появились симптомы повреждения лучевого нерва и началось нагноение вокруг имплантированной металлической конструкции. В течение проводимого лечения ситуация осложнилась формированием хронического свища с постоянным выделением гноя в области фиксации металла. Пациента мучили сильные боли. Сильные боли.

Фото: пресс-служба ОКБ
Результаты исследования подтвердили наличие глубокого воспалительного процесса, связанного непосредственно с установленной ранее конструкцией.
Врачи приняли нестандартное решение: использовать комбинированный метод оперативного вмешательства, который позволил аккуратно удалить всю конструкцию, сохранив целостность нервных структур и избежав повреждения лучевого нерва.
Операция прошла успешно, без осложнений, сохранена двигательная активность руки и чувствительность кисти.
Оба пациента выписаны. Они наблюдаются в медицинских учреждениях по месту жительства.